Zoom! In-Office Whitening now just $399 (Regularly $550) – includes a FREE Take-Home Kit! Offer expires September 30th. Book your brighter smile today!

If you're missing teeth, you're not alone. Tooth loss is a far more common problem than you think. In fact, studies show that 178 million people across the United States are missing at least one tooth, and 35 million are completely edentulous (missing all their teeth). Whether you have lost one tooth or multiple ones to gum disease, tooth decay, or a traumatic injury, the office of Belle Smile can help. We provide state-of-the-art care and offer the latest solutions to help patients reestablish complete, healthy, and beautiful smiles.
Today, dental implants represent the most advanced system for the replacement of missing teeth. While conventional fixed bridges and dentures remain effective and satisfying ways to replace missing teeth, dental implants come the closest to replicating the look, feel, and function of a natural smile.
With dental implants, you can once again enjoy all your favorite foods and speak and smile with renewed confidence and ease. Because dental implants behave in much the same way as the roots of natural teeth, they provide unrivaled stability for the placement of a broad range of dental prostheses, including crowns and bridges up to a complete set of teeth. For patients who wear full dentures, dental implants provide the added stability and retention required to improve comfort and fit while preventing any embarrassing slippage.
If you are struggling with tooth loss and looking for the best solutions for the replacement of missing teeth, visit the office of Belle Smile to learn more about dental implants and all the state-of-the-art services we provide. At the office of Belle Smile, we take pride in creating beautiful and healthy smiles!
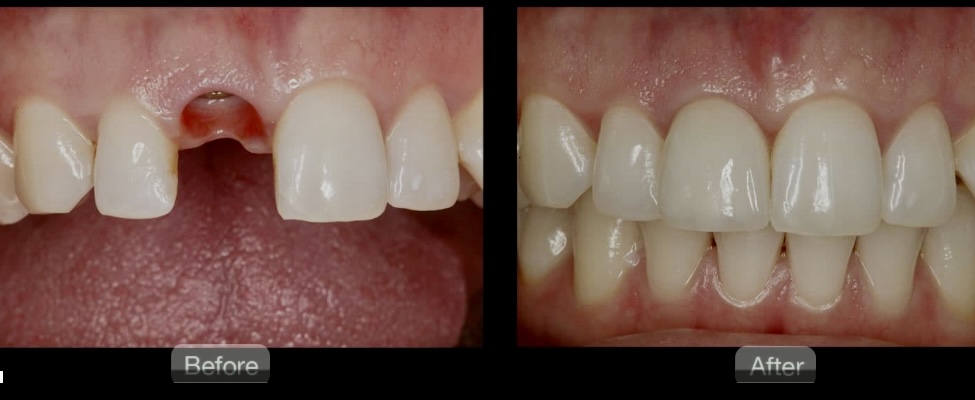
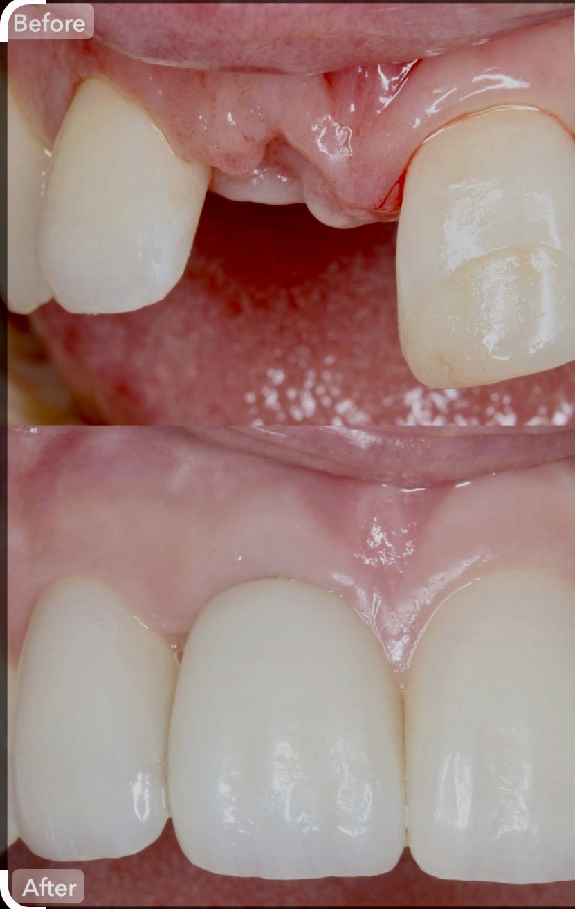
*Click on an image below for larger view









Dental implants are small, biocompatible surgical posts that behave in much the same way as the roots of natural teeth. Once placed and integrated with the surrounding bone, dental implants provide unparalleled support for single crowns, bridges, and dentures. As the most advanced method for the replacement of missing teeth, they offer satisfying, long-lasting, and functional solutions for rebuilding a complete smile.
Whether you're missing one tooth, multiple ones, or missing all your teeth, you can rebuild a complete and beautiful smile with dental implants! According to statistics, roughly 3 million people have already received dental implants, with that number increasing at a staggering rate of 500,000 per year! The soaring popularity of dental implants is attributed, in large part, to the numerous benefits they offer as compared with other methods of care.
While conventional fixed bridges and dentures provide effective and satisfying solutions for the replacement of missing teeth, dental implants offer several advantages over traditional methods of care:
If you are wondering if you're a candidate for dental implants, it's easy enough to find out. At the office of Belle Smile, we're not only happy to look at your smile, but we'll also answer all your questions and explain your best options for dental implants. We treat every smile as unique and develop personalized treatment plans based on your medical and dental histories, current oral health, cosmetic expectations of care, lifestyle, and budget.
It's essential to plan and meticulously execute every step in care, from initial treatment planning and the precise placement of dental implants all the way to the design, fabrication, and insertion of the final crowns, bridges, or dentures.
Surgery to place dental implants is typically considered a minor surgical procedure and performed on an outpatient basis. However, the exact extent of the procedure depends upon the type and number of dental implants and whether or not any additional procedures are required to prepare the supporting bone.
We view communication as a vital part of patient care. Before your dental implant procedure, we'll discuss dental anesthesia, options for dental sedation, and provide detailed pre-op and post-op care instructions. You can count on our office to keep you well-informed every step of the way.
Once a dental implant gets placed, it takes a few months to integrate fully with the surrounding bone. While a few implant solutions allow placing a same-day temporary crown or bridge, others require waiting for complete healing and osseointegration (fusion with the surrounding bone) to place the permanent prostheses.
According to clinical studies, dental implants have a demonstrated long-term success rate of well over 95%. However, the long-term stability and success of a dental implant depend upon the presence of sufficient bone at the time of placement. In cases of periodontal disease or following the extraction of a tooth, bone volume is often lost. By placing a bone graft in the extraction site, or prior to the placement of a dental implant, we can establish sufficient bone support for a sturdy and stable dental implant.
Missing teeth do more than cause embarrassing gaps in your smile. For one thing, they can also affect your ability to speak or chew nutritious food with ease. By not replacing missing teeth, the adjacent ones can shift towards the space over time and change your bite and compromise the health of your smile in many ways.
With all of the advances in dental materials, technology, and treatment methods available today, it's easier than ever before to replace missing teeth with the most natural-looking and aesthetically pleasing results of care.
At the office of Belle Smile, we're pleased to offer leading solutions to improve your oral health and give you a smile you can feel confident sharing with the world. We give you back the complete smile you have lost and provide personalized solutions for all of your oral healthcare needs. To find out more about dental implants or schedule an appointment so that we can take a closer look at your smile, give us a call today.
Dr. Ramy Zaifman graduated from NYU with a Doctor of Dental Surgery in 1992. He completed his residency in Cornell Medical Center [a level one trauma center]. Dr. Zaifman has been in private practice in NYC, Westchester NY, Bronx NY, and Long Island NY. Dr. Zaifman is experienced and knowledgeable in all aspects of Implant, cosmetic, and family dentistry. Advanced education courses in surgical, restorative, and general dentistry are part of a comprehensive approach to every patient's individual needs.
Dr. Choe is a graduate of UCLA School of Dentistry in 1989, one of the best in the country. She has been a dentist for over 29 years and has been through courses in General Practice Residency program, Advanced Esthetics Course, Implant Courses, Invisalign Course and more since receiving her D.D.S. degree.
Her emphasis on patient comfort as well as keeping up-to-date with the latest advancements in dentistry enable her to provide patients with the best quality of care in the field. Dr. Choe has a wide range of experience in different areas of dentistry, from cosmetic and implant restorative dentistry to biocompatible tooth colored fillings.
Her approach to your treatment starts with patiently listening to you. Then, after a complete and thorough examination, she reviews and discusses the diagnosis and treatment options with you.
"I am proud to provide my patients with the best in dental technology, treatment options and patient comfort. It is my pleasure to address all your questions and concerns."
Dr. Judy Chang graduated from NYU with a Doctor of Dental Surgery degree in 1992. She completed her residency in Loma Linda Medical Center. Dr. Chang has been in private practice in NY. Her patients appreciate the knowledge and experience that are part of over 25 years of successful practice. Many courses of continuing education in implant, cosmetic, and restorative dentistry assure that Dr. Chang and the office staff use the latest techniques and materials in the office. An approach combining compassion, understanding, and knowledge of dentistry is the foundation of a great patient-dentist relationship.
If you've lost a tooth due to injury, decay, gum disease, or any other reason, we recommend dental implants to replace missing teeth. Dental implants come the closest to replicating the look, feel, and function of your natural teeth.
Dental implants are placed into the jawbone and mirror the same function as the root of a tooth. The procedure for dental implants is usually performed while a patient is sedated. Patients who undergo IV sedation must have an empty stomach and transportation home following the procedure. Most sedation patients will have little to no memory of the procedure occurring.
Generally, dental implants are made out of a biocompatible metal such as titanium. Biocompatible metals are also used for other common bone implants (such as shoulder, hip, and knee replacements). The visible portion of the implant is usually made out of porcelain and is custom-made to match your existing teeth.
Dental implants are designed to fuse to the bone, which makes them become permanent fixtures. Typically speaking, the success rate is nearly 100%. There are few cases in which the implant will not fuse as intended and must be removed. If this happens to occur, the procedure can be attempted again a few months later.
Dental implants are not usually covered by dental insurance, but may be covered under a patient's medical insurance. Our office and your insurance company can discuss coverage options with you based on your individual case and treatment plan.
It's easy... just take care of an implant as if it's a natural tooth! This involves regular brushing, flossing, and dental checkups. If you have any concerns about your implant, contact us immediately.
